【科普园地】儿童低剂量CT扫描带你走出误区
发布时间:2024-02-24 16:50:00     信息来源:影像科     浏览量:11477      

肺炎是儿童的常见疾病,往往因肺炎支原体、流感病毒引发。影像检查作为诊断肺炎的手段之一,对评估病情起到了重要作用。
常见的影像检查方法包括X线胸片和胸部CT。考虑到儿童年龄、身体发育、电离辐射等因素,大多数人首先想到的就是“拍片子”(胸部DR)。虽然拍片子具有检查快、费用低、辐射低等优点,但因其是重叠影像,对于诊断肺炎比较局限,就像是“雾里看花”看不真切,还可能会出现因早期磨玻璃样病变表现不明确而漏诊。因此,胸部CT检查是非常有必要的,它能够避免因组织重叠带来的误诊、漏诊等情况。而低剂量CT检查作为一种特殊的检查方式,在儿童胸部疾病的诊断中广泛应用。

省交通医院影像科现配备全新飞利浦128层高端螺旋CT,具有成像速度快、图像质量高等优点,可迅速完成低剂量CT检查,尤其适用于儿童等配合程度有限的患者。除了CT检查的共性优点外,它可以分析儿童发育特点制定儿童个性化低剂量扫描方案,配合穿戴防护用具,做好放射防护,双管齐下为患儿健康保驾护航。

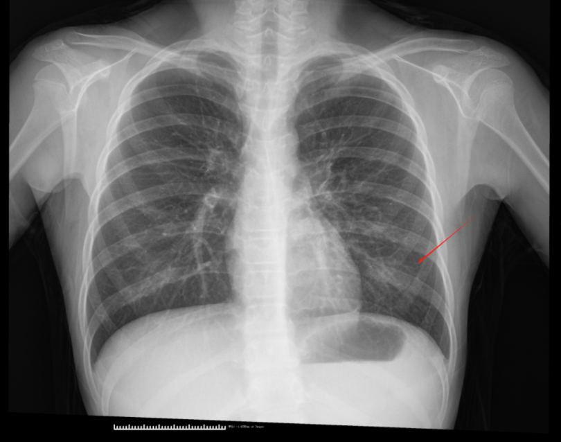
胸部DR

CT
上图是一位10岁的小患者,分别进行了胸部DR和CT检查。DR仅显示左肺下叶纹理增多、模糊,而CT显示左肺下叶大片絮状稍高密度影,对病变的范围和程度较DR更为直观和清晰。




患者公共服务平台
医院公众号
健康查体服务平台